望月吉彦先生
更新日:2017/3/6
このページには、医学的な資料として「心臓手術時の写真」がありますので、ご注意ください。
前回、アルゼンチン人のファバロロ先生が冠動脈バイパス術の創始者であることを紹介しました。今回は、同先生の栄光と悲劇のお話です。
ファバロロ先生は、アルゼンチンで医学部を卒業後、地域医療に貢献するため、田舎で開業し「農村医」として働いていましたが、心臓病に興味を持ち、一念発起して、米国のクリーブランドクリニックに留学を果たすのです。留学したのが39歳、1962年のことです。心臓外科医としてクリーブランドクリニックで働き始めます。そこで ソーンズ(F. Mason Sones, Jr:1918-1985)先生と出会い彼の人生は変わります。
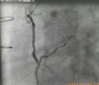
ソーンズ先生はクリーブランドクリニックの循環器内科医です。世界で初めて、選択的冠動脈造影を行い、冠動脈造影法を世界に広めたことで有名です。実はこの冠動脈造影をソーンズ先生が始めたのも「serendipity」なのです。またか!です。1958年10月、ソーンズ先生が大動脈造影を行おうと大動脈に留置した(と思った)カテーテルが、誤って冠動脈に入ってしまったのです。冠動脈に入っていたことに気づかずに造影剤を注入して得られたのが下の図2で、世界で最初に撮られた選択的冠動脈造影の画像です。

図2:世界で初めての冠動脈造影写真
この出来事が起きるまで、造影剤を冠動脈に注入することは禁忌とされていました。なぜかと言うと、造影剤を冠動脈に流すことは「一時的に冠動脈に血液が流れなくなること」を意味します。一時的にでも冠動脈に血液が流れなくなると、心臓は停止すると思われていたのです。しかし、ソーンズ先生が行った造影で心臓は一瞬、止まっただけでした。
ソーンズ先生はこの後、造影剤や造影剤の注入量などを工夫して冠動脈造影が安全にできる方法を確立しました。偉大な業績です。この方法は ソーンズ法として世界中に広まり、クリーブランドクリニックの名を世界に知らしめます。そういう時期にクリーブランドクリニックに留学したのがファバロロ先生です。ソーンズ先生と出会い、冠動脈バイパス術を考え出したのです。留学して5年、1967年に冠動脈バイパス術を開始し、前回紹介した冠動脈バイパス術の論文を発表し、世界中の外科医を驚かせました。
私は、ちょっとだけ気になることがあります。普通、こういう論文は一人では発表しません。手術は一人だけではできないので、この手術に貢献のあった医師と共著とするのが普通です。しかし、この論文の著者は ファバロロ先生一人です。上司の外科医や同僚外科医の名前はありません。普通は、あり得ない話です。
冠動脈バイパス術を創始してから3年後の1971年、彼はアルゼンチンに凱旋帰国し、クリーブランドクリニックに似た研究所「Fundación Favaloro」を、クリーブランドクリニックの支援を得て、設立します。そこで、心臓病の研究や医師の教育を行います。1992年に「Favaloro Foundation Institute of Cardiology and Cardiovascular Surgery」が設立され、1998年には「Universidad Favaloro (ファバロロ大学)」まで設立されます。
余談ですが、ファバロロ先生は、心臓血管外科関係の著書はもちろん多いのですが、アルゼンチンをスペインから独立させるために活躍した「ホセ・デ・サン・マルティン」に関する本を2冊も書いています。よほど、歴史が好きで、勉強が好きだったのだと思います。そういう幸せな人生を送っていた彼の人生が一転します。2000年アルゼンチンは経済危機に陥り、なんとファバロロ先生は破産してしまったのです。巨額の負債を抱えたファバロロ先生は、思い詰めてしまい自身の心臓をピストルで撃って自裁します。これが、「アルゼンチンの英雄 Favaloroの悲劇」です。
彼を救済する方法は無かったのでしょうか?アルゼンチンがダメでも周辺諸国やアメリカが彼に救済の手を差し伸べることができなかったのかと思うと胸が痛くなるような思いがします。
ここからは、冠動脈バイパス術の実際や余談を具体的な資料などでご紹介いたします。
手術にあたったチームのカンファレンスに使った手術の模式図です。手術の設計図と言っても良いです。皆さんにはなんだかよく解らないでしょう。この患者さんには3箇所、身体のほかのところから持ってきた血管を代用してバイパスをつなぎました。「SVG(大伏在静脈:下肢の静脈)」は saphenous veinのこと、「LITA」は左内胸動脈のことです。

図3:手術模式図

図4:超音波血流計
これは、冠動脈バイパスを作成後、バイパスに血流が流れているかどうかを手術中に測定した記録です。青い部分が血流を示します。この事例は、良く流れています。もし、青い部分があまり現れないとバイパスを再度つなぎ直すことが必要になります。
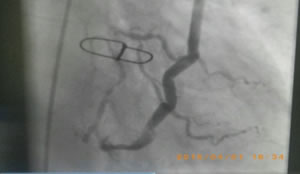
下の写真は、冠動脈バイパス術後の造影です。すでに手術から数日経った退院前の造影検査です。我々心臓外科医にとっては、循環器内科医師の先生からの「試験」を受けているようなモノです。ここで良い評価が得られないと、内科からの手術適用患者の紹介が途絶えることになります。
目安となる一つは、「グラフト開存率」です。バイパスに用いた代用の血管を「グラフト」と言い、術後にグラフトが狭窄や閉塞を起こさずに機能し続ける割合を言います。毎年、年末にこのグラフト開存率を計算します。これが落ちてきたら、その術医には患者さんが紹介されなくなります。手術死亡率とグラフトか依存率が冠動脈外科医の生命線です。
私のグラフト開存率は最後まで 95%以上だったので、心臓外科医としては良しとしていただきましょう。

図5:橈骨動脈をグラフトとして左前下行枝に吻合した例

図6:右胃大望動脈をグラフトとして右冠動脈に吻合した例

図7:一本の大伏在静脈をグラフトとして使い、3箇所に分けて吻合した例
この術式は「sequential bypass (シークエンシャルバイパス)」と言います。
非常に難度が高いです。
以下、医学的な資料として「心臓手術時の写真」がありますので、ご注意ください。
この時は、グラフトに足の大伏在静脈(saphenous vein)を用いました。グラフトと冠動脈を糸で吻合しているところです。下の写真は、その拡大です。糸の太さは0.05mmです。見えないかもしれませんね。

図8-1

図8-2:拡大図
私は心臓外科医として、多くの患者さんにこの手術を行ってきましたが、この手術の際に使われる特殊メス(ナイフ)を開発するお手伝いをする機会に恵まれ、私の考えになるメスが、日米欧の特許をとるという望外の幸せに恵まれました。製品化もされ、日本だけでなく海外でもこのメス(ナイフ)が使われるようになりました。外科医として、こんなに嬉しいことはありません。
そのメス(ナイフ)のカタログです。
http://www.mani.co.jp/pdf/surgery_06.pdf
さて、最後になります。私が冠動脈バイパス術を行ったある患者さんの、感動的な「話」をご紹介したいと思います。
数年前、小学校の元校長先生だった患者さんに冠動脈バイパス術を行いました。術後の経過は良好で、今は「命の電話のボランティア」をなさっており、「命の大切さを伝える」講演もなさっています。その講演でご自身が経験した冠動脈バイパス術の話をされたそうです。要旨は、
というお話をしたそうです。この話は、その講演にたまたま出席していた、私と同じ病院に勤務していた、看護師さんから聞きました。私はそれまで心臓外科医として多くの冠動脈バイパス手術を行いましたが、この元校長先生のように「バイパス術」を「人生の生き方になぞらえて」考えたことが無かったので、ちょっと感動してしまいました。医者冥利に尽きます。
今、仕事や人生で行き詰まったと感じたり、悩んでいる方はいませんか?「ダメだ」と思い詰め諦めてしまう前に、ちょっと別の道(バイパス)を探してみませんか?乗り越えられるかもしれません。
望月吉彦先生

医療法人社団エミリオ森口 芝浦スリーワンクリニック
東京都港区芝浦1-3-10 チサンホテル浜松町1階
TEL:03-6779-8181
URL:http://www.emilio-moriguchi.or.jp/
※記事内の画像を使用する際は上記までご連絡ください。





